
According to recent research in live mice and human cells in culture, the peptide MOTS-c has shown promise in preventing type 1 diabetes. Type 1 diabetes and other autoimmune diseases may be treated as a consequence of the peptide’s apparent control over the body’s immune system.
When an individual’s immune system assaults the insulin-producing beta cells in the pancreas, type 1 diabetes develops. Patients must manually administer insulin as required because the body struggles to convert glucose into cellular energy when the blood level of insulin is low.
The University of Southern California and Seoul National University researchers may have found a way to prevent this destruction, according to the new study. The answer lies in a peptide known as MOTS-c, which the team has previously shown can mimic the advantages of exercise and improve the fitness and overall wellbeing of older mice.
Unexpectedly, MOTS-c is not encoded by our cells’ main genome. Instead, it is created in the mitochondria, organelles with their own unique genomes that make energy for cells.
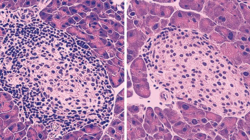
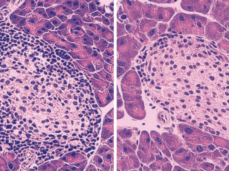
In the latest investigation, researchers artificially caused type 1 diabetes in mice, then administered MOTS-c to treat it. It turns out that the treatment kept the animals’ beta cells from dying and stopped the mice’s development of glucose.
MOTS-c appears to function by sustaining regulatory T cells, those assigned with identifying the difference between the body’s own cells and alien pathogens. That lowers the number of killer T cells that are triggered to attack the insulin-producing cells.
MOTS-c seems to maintain regulatory T cells, which are tasked with distinguishing between the body’s own cells and foreign invaders. As a result, fewer killer T cells are activated to target the cells that produce insulin. Changhan David Lee, the report’s co-corresponding author, claimed that his group has been able to stop the onset of type 1 diabetes in mouse models and that MOTS-c injections appear to calm the immune system and instruct it not to target its own cells
Although it is still early for the treatment, there are encouraging signs that the outcomes may just apply to people. Researchers found that people with type 1 diabetes had much reduced levels of MOTS-c flowing in their blood than people without the disease. As it had in rodents, MOTS-c treatments reduced the activation of killer T cells in a subsequent study on human cells in culture. In addition, the researchers assert that the approach might be modified to address a number of other autoimmune diseases in addition to type 1 diabetes.
Originally publisehd on: Newatlas.com
