
Dental professionals should be aware that the majority of systemic conditions often show symptoms in the mouth. These conditions include autoimmune disorders like Sjögren’s syndrome, lupus, sarcoidosis, diabetes, HIV, and hematological issues. In some cases, oral symptoms of conditions such as Crohn’s disease can appear before gastrointestinal symptoms. As a dental professional, I have diagnosed many of these disorders and collaborated with other healthcare providers to improve patient outcomes.
The Sjögren’s syndrome
Sjögren’s syndrome, an autoimmune condition, commonly presents with dry eyes and mouth as its main symptoms. Patients often experience gritty, burning, and itchy sensations in their eyes and have difficulty swallowing or speaking due to the feeling of a cotton-filled mouth. Salivary and lacrimal glands are typically affected first in Sjögren’s patients, leading to decreased saliva and tears. Dental professionals can play a crucial role in identifying these connections.
Sjögren’s syndrome frequently co-occurs with other immune system disorders like lupus and rheumatoid arthritis. The patient, in this case, study denied having any additional conditions. This syndrome primarily affects women over 40 years old. Other associated findings include dry skin or rashes, persistent cough, prolonged fatigue, joint pain, swelling, stiffness, and swollen salivary glands around the jaw and ears.
In the case study, a 44-year-old African American female who is a pediatrician, wife, and mother of two presented with dry mouth and tooth sensitivity as her main dental complaint. She had a confirmed diagnosis of Sjögren’s syndrome and had undergone gallbladder removal in 2018. Her Sjögren’s syndrome was diagnosed ten years ago without any significant additional findings.
Symptoms presented on clinical examination
During the clinical examination, the patient frequently squinted her eyes, indicating the common symptom of dry eyes and associated discomfort and vision problems. The examination focused on health, function, and aesthetics.
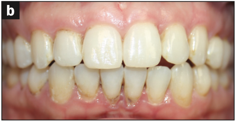
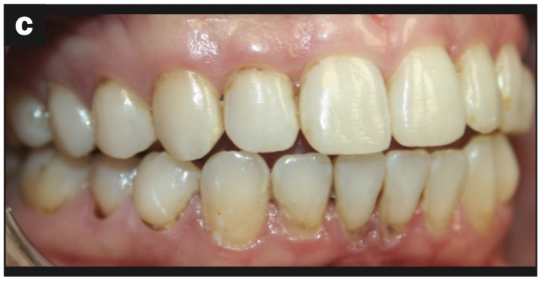
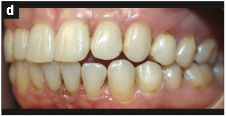
The health examination revealed extensive tooth decay on multiple surfaces, moderate periodontal disease with inflammation and pocketing, evidence of bone loss in radiographic images, dry mouth, dry eyes, and gingival recession.
Functional issues included a lack of canine guidance with tooth No. 11, malocclusion leading to bruxism, abfraction lesions, tooth pitting, fractures, and an anterior open bite.
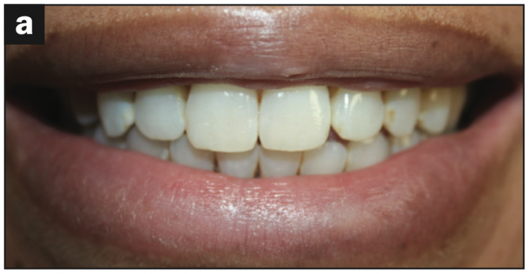
The patient’s smile was evaluated as aesthetically pleasing with slight asymmetry noted.
Health: My approach to improving health involves addressing oral disease and its systemic implications. The primary focus includes periodontal therapy, which incorporates salivary testing, scaling, and root planing (SC/RP), laser therapy, the use of StellaLife Oral Rinse, and oral/gut probiotics such as ProBiora. Follow-up appointments are necessary at 6 weeks and 3 months after treatment, with regular 3-month hygiene appointments thereafter. The patient needs to maintain diligent oral health practices and utilize products to stimulate salivary production.
Carious elimination: Dental decay was removed using a ceramic bur, followed by specific steps. LimeLite pulp material was placed, followed by etching, desensitization, bonding, and the placement of ACTIVA BioACTIVE as the core buildup material.
Functional Approach
This step was undertaken before any restorative work. Models were taken, and the horizontal relationship of the upper arch was determined using a SAM 3 Articulator kit with a face-bow. The patient was deprogrammed using a leaf gauge for 15 to 20 minutes, and centric bite records were obtained. A minimal slide from centric relation (CR) to centric occlusion (CO) was identified and eliminated on the cast and teeth. In some cases, selective tooth equilibration was performed to create a more balanced occlusal scheme. The initial steps of deprogramming, taking a centric bite, mounting, and adjusting the cast and teeth are crucial for understanding the harmonious function of muscles, joints, and teeth before proceeding with temporaries and final restorative work.
Treatment of Aesthetics: Preservation of Aesthetics Appearance
No cosmetic wax-up was performed in this case as the patient desired no changes in aesthetics. However, in hindsight, it would be advisable to reconsider this decision due to the complexities encountered during the fabrication of chairside temporaries.
Restorative Approach to Care
Due to the extensive treatment required and the decision to distribute the financial commitment over 12 to 14 months, the case was completed in phases. The total cost of the treatment was approximately $50,000.
First Appointment
During the initial appointment, comprehensive charting was conducted, and digital intraoral images and a full-mouth X-ray series were taken. Periodontal charting was also completed. The duration of the first appointment was approximately 1.5 hours.
Digital imaging revealed:
- Anterior open bite in the centric occlusion position
- Bimaxillary protrusion
- Crowding in the mandibular anterior region
- Severe gingival inflammation, particularly in the mandibular arch
- Gingival recession
- Root decay
Intraoral images were captured, focusing on three surfaces of each tooth: buccal, occlusal/incisal, and lingual surfaces. The following issues were identified:
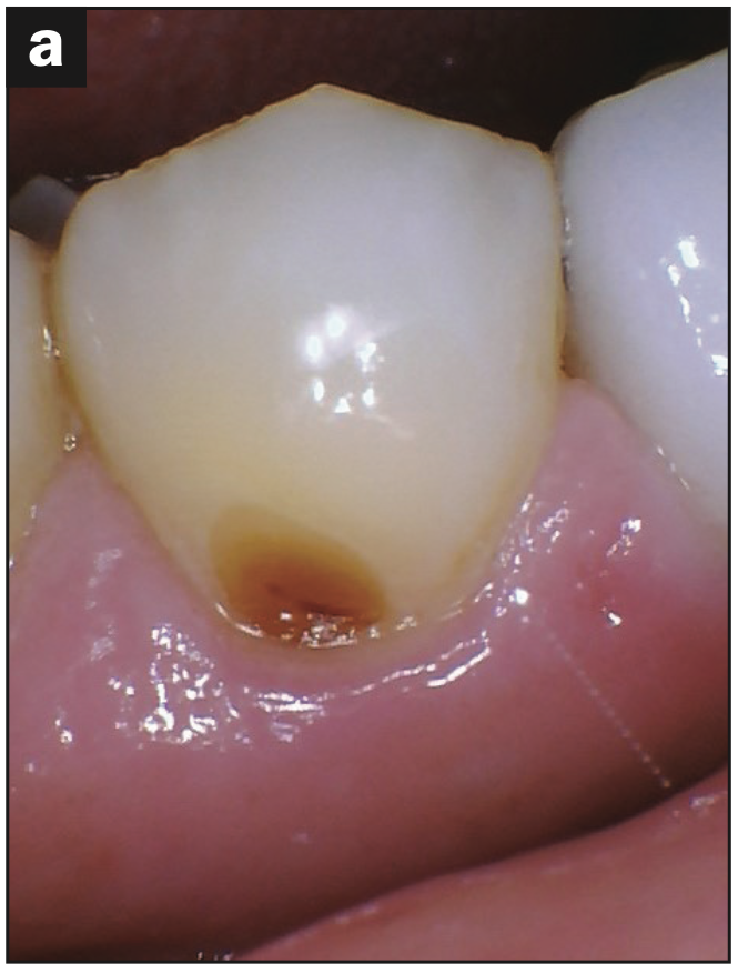
- Abfraction with decay (Figures 2a and 2b)
- Abfraction lesions (Figures 2c and 2d)
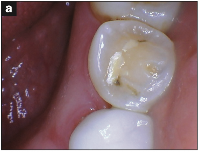
- Occlusal pitting (Figure 3a)
- Occlusal wear (Figures 3b and 3c)
- Decay (Figures 3b and 3d)
The carious elimination and crown preparation process involved using specific tools and materials such as ceramic burs, LimeLight cavity liner, desensitizer, bonding agent, and ACTIVA BioACTIVE. Conservative and optimal crown preparations were performed, and chairside temporaries were created with Luxatemp for aesthetic and functional purposes.
In the second phase, crown buildups, crown preparations, and temporization were completed for mandibular posterior teeth (teeth 18 to 20 and 29 to 31).
The third and final phase included crown buildups and preparations for maxillary anterior teeth (teeth 2 to 5) and mandibular anterior teeth (teeth 12 to 15).
The final results included the restoration of canine guidance, maintenance of aesthetic appearance, and arch harmony evident in the maxillary and mandibular occlusal views.
Read the original article on dentistrytoday.
Read more: Study Sheds New Light on the Link Between Oral Bacteria and Diseases.












