
CEA
The world’s most powerful MRI machine has begun to demonstrate its capabilities by conducting scans of living human brains. These images offer an ultra-high-resolution view of the brain, aiding in our comprehension of consciousness and the treatment of neurodegenerative conditions.
Created by the French Alternative Energies and Atomic Energy Commission (CEA), the Iseult MRI machine boasts a magnetic field strength of 11.7 Teslas (T). In contrast, typical MRI machines found in hospitals typically range from 1.5 to 3 T in strength.
The primary advantage of this additional power is the ability to capture significantly higher-resolution brain images much more rapidly.
High-Resolution Brain Imaging in Minutes
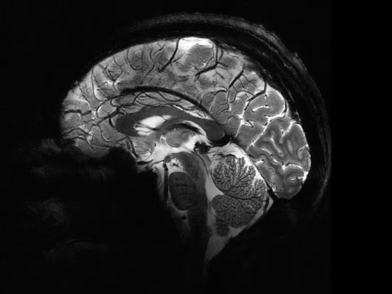
The Iseult MRI machine can acquire images of brain tissue horizontally at a resolution of 0.2 mm (0.008 in) in slices just 1 mm (0.04 in) thick, all within a mere four minutes. This volume equates to imaging a few thousand neurons simultaneously.
In contrast, achieving such resolution with conventional MRI machines would necessitate patients to remain perfectly still for over two hours, as even the slightest movement would compromise the image quality. Naturally, this is impractical.
Another comfort-enhancing feature is the 90-cm (35.4-in) wide aperture for patients to insert their heads. While this may not appear significantly larger than the typical 60-to-70 cm (23.6-to-27.6 in) opening, the additional space can contribute to reducing feelings of claustrophobia during the procedure.

CEA
Iseult’s First Human Scans
A few years ago, Iseult underwent testing using pumpkins, but it has now conducted scans on its first human subjects, comprising 20 healthy volunteers. These remarkable images showcase the potential of the new MRI technology to uncover previously inaccessible insights into brain function, including the encoding of mental representations and the neuronal signatures linked to consciousness.
In addition to addressing existential inquiries, Iseult holds promise in aiding scientists to comprehend, diagnose, and treat neurodegenerative illnesses such as Alzheimer’s and Parkinson’s disease.
It possesses the capability to detect chemical markers, typically too faint to be discerned by standard MRI scans, including molecules like glucose and glutamate, crucial in brain metabolism and implicated in conditions such as gliomas and neurodegeneration.
Furthermore, it can monitor the distribution of lithium in the brain, utilized in treating bipolar disorders.
A Monumental Feat of Engineering
Due to its intricate design, Iseult surpasses the size of other MRI machines, measuring 5 meters (16.4 feet) in length and width, with a weight of 132 tons, and constructed with 182 kilometers (113 miles) of superconducting wires.
Maintaining the magnets at the requisite temperature of -271.35 °C (-456.43 °F) necessitates approximately 7,500 liters (1,981 gallons) of liquid helium. While its size, complexity, and presumably high cost may restrict its deployment, it is hoped that the benefits it offers will justify its utilization in specialized facilities in the near future.
The team provides further insights into the technology in the accompanying video.
Read the original article on: New Atlas
Read more: Newer Generations with Larger Brains are Influencing Dementia
